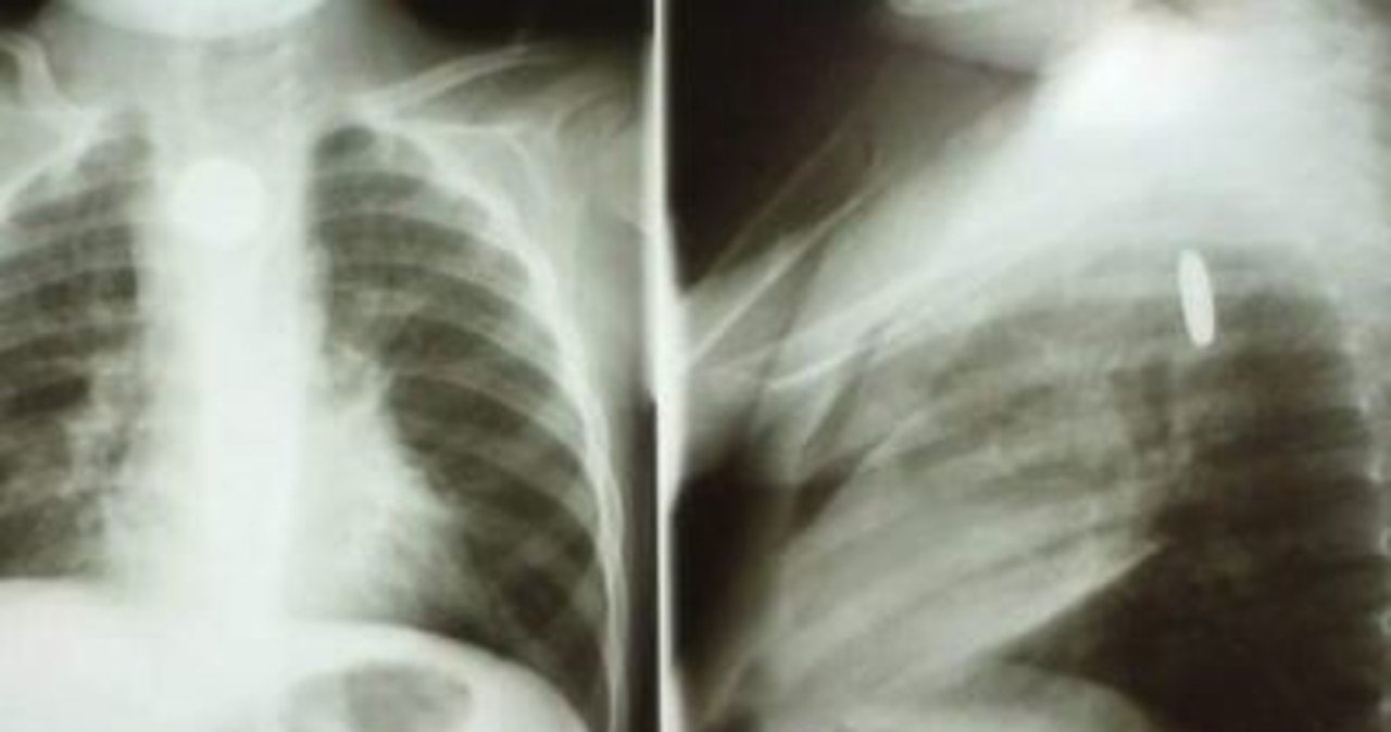
Pozostałe 2-latek połknął baterię. Lekarze walczą o jego życie By admin 9 listopada, 2022 [Głosów: 0 Average: 0/5]Lekarze walczą o życie 2-letniego chłopca, który połknął baterię. Ta wybuchła w jego przełyku i doprowadziła do poważnych poparzeń. źródło: https://www.rmf24.pl/fakty/swiat/news-2-latek-polknal-baterie-lekarze-walcza-o-jego-zycie,nId,6401198